Re: 잇몸미백 > 상담과 예약 > 온라인상담

본문 바로가기
온라인상담
HOME > 상담 과 예약 > 온라인상담
온라인상담 글쓰기는 회원 가입 후 가능합니다. 로그인지금 회원가입하기

Re: 잇몸미백

페이지 정보

작성자 주상돈 (1.♡.236.30) 작성일25-10-20 08:16 조회16회 댓글0건

본문

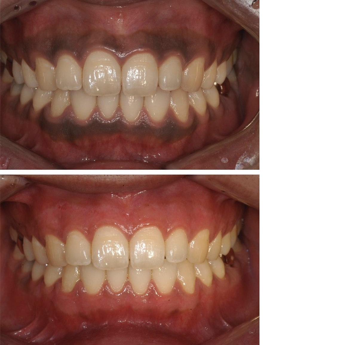
안녕하세요? 대구예스타 치과 주상돈박사입니다. 


잇몸미백 치료비용에 관해서 궁금하신것 같습니다. 

예, 잇몸미백은 물방울레이저로 안전하고 덜아프게 치료를 하며, 치료후 당일 일상생활 하는데 지장은 없습니다. 

보통 윗니 혹은 아랫니 중, 한쪽을 먼저 시술하고 다음주, 반대편을 하게 되며. 시술시간은 30분정도 소요됩니다. 

비용은 부가세 포함해서 악당 44만원비용이 듭니다. 


감사합니다. 


596ddf5b730f8663ab265fae14be5916_1760915754_04.jpg
 


> > > 잇몸미백 가격이 > 알고싶어요 > >


TOP