앞니치료의 모든것 > 보기싫은 앞니보철 치료
보기싫은 앞니 보철 재치료
HOME > 앞니치료의 모든 것 > 보기싫은 앞니 보철 재치료
정확한 진단하에서
이루어지는 정확한 치료
라미네이트 혹은 올세라믹 시술은 정확한 진단하에서 치료가 되지 않으면
오랜 시간의 경과 뒤 오히려 역효과를 일으킬 수 있습니다.
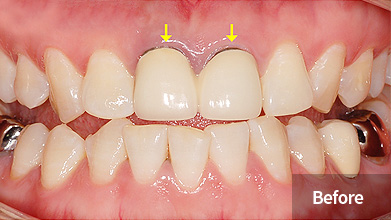
오래되어 변색된 앞니 재치료
올세라믹(치료기간 : 당일)



오래되어 변색된 앞니 재치료
세렉크라운&세렉라미네이트
(치료기간 : 당일)



오래되어 변색된 앞니 재치료
세렉크라운(치료기간 : 당일)



오래되어 변색된 앞니 재치료
세렉크라운(치료기간 : 당일)


