앞니치료의 모든 것 > 시스루 교정
 세라핀,시스루 교정
HOME > 앞니치료의 모든 것 > 세라핀,시스루 교정
	보이지 않는 투명한 자신감!
세라핀,시스루 교정
			쉽게 탈착이 가능하고 눈에 잘 보이지 않는 투명한 교정장치를 이용하여,한듯 안한듯 심미적이고 편리한 교정으로 자신감을 가져보세요. 세라핀 교정 자세히 보기 > 시스루 교정 자세히 보기 >
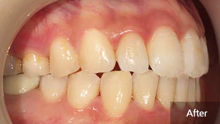
틈이 있는 경우
			(치료기간 : 8개월)
			
		
앞니가 튀어나온 경우
			(치료기간 : 9개월)
			
		
윗니가 아랫니를 덮은 경우
			(치료기간 : 9개월)
			
		
위, 아래 앞니끼리 닿지 않는 경우
			(치료기간 : 12개월)
			
		
아랫니가 삐뚤빼뚤한 경우
			(치료기간 : 16개월)
			
		
윗니가 삐뚤빼뚤한 경우
			(치료기간 : 12개월)
			
		
안으로 들어간 덧니의 경우
			(치료기간 : 12개월)
			
		
덧니 치아인 경우
			(치료기간 : 20개월)
			
		


        