진료내용 > CAD/CAM 보철치료 > 세렉라미네이트
세렉라미네이트
화장보다 더 예쁜
나의 웃는 모습
세렉라미네이트로
더욱 아름다워집니다.
01/
세렉라미네이트란?
일반 라미네이트가 아닙니다.
자연치아와 색상과 강도가 비슷한 세렉(CEREC)을 이용하여 3D CAD/CAM방식으로
치아를 디자인하여 자연스럽고 예쁜 앞니를 만드는 치료입니다.
치료 후 5년을 보장하는 안전하고 오래가는 세렉(CEREC)라미네이트 치료.
(보장기간 5년동안 재치료가 필요한 경우 최소한 비용으로 재치료를 책임지고 치료합니다.)
02/
세렉라미네이트가 필요한 케이스03/
대구예스타치과 세렉라미네이트 치료과정-
STEP 1.치료계획
치아의 배열, 색상, 균형, 잇몸상태, 환자의
개성은 물론 경제적 상황을 고려하여
환자에게 가장 적합한 치료계획을 수집 -
STEP 2.치아다듬기
최소삭제를 원칙으로 하며 경우에 따라
삭제를 생략할 수도 있음 -
STEP 3.3D 치아 이미지 채득
광학 카메라를 이용하여 3차원
치아 이미지를 채득합니다. -
STEP 4.라미네이트 디자인
컴퓨터프로그램(CAD)로 3D치아 이미지를
불러낸 후 수만건의 치아 패턴을 분석해
놓은 Tool을 활용하여 라미네이트를
디자인합니다. -
STEP 5.라미네이트 제작
컴퓨터와 연결된 세렉밀링머신이
라미네이트의 재료가 되는 세라막 블록을
조작하는 과정을 거칩니다. -
STEP 6.라미네이트 부착
완성된 라미네이트를 부착하는 과정 -
STEP 7.마무리
전체적인 부착 후 불편함 여부를 확인한 후
최종 손질을 통해 라미네이트를 완성합니다.
04/
세렉라미네이트 디자인 과정05/
대구예스타치과 세렉라미네이트가 좋은 이유-
높은 강도
자연치아의 1.1배 강도의 강화 세라믹으로 일반 라미네이트보다 강도가 높아 파절 가능성이 거의 없습니다.
-
최소한의 치아삭제
불순물이 적어 치아와 접착력이 강하므로 치아 삭제량을 적게 할 수 있으며 얇게 제작 가능합니다.
-
생체 친화적
다른 재료에 비해 생체 친화성이 뛰어나며, 10년뒤 생존율이 가장 높은 재료로 현재까지 중에서 가장 안전한 재료입니다.
-
심미성
자연치아와 비슷한 색상으로 보다 자연스러운 치아 제작이 가능합니다.
-
당일 치료
3D 디자인 프로그램인 CAD/CAM 장비를 이용하여 당일 제작이 가능하여 하루만에 치료가 가능합니다.
06/
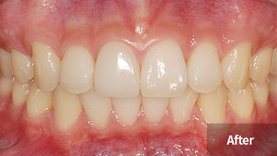
대구예스타치과 세렉라미네이트 시술사례
세렉(CEREC)을 이용하여
치아를 완전히 감싸면서
덮어씌우는 형태의 앞니치료
세렉 올세라믹
01/
세렉 올세라믹이란?
치아의 앞쪽 면에 얇게 붙이는 라미네이트로 치료하기 어려운 경우, 세렉(CEREC)을 이용하여 치아를 완전히 감싸면서 덮어씌우는 형태의 앞니 치료입니다.
앞니성형이 필요한 치아가 삐뚤어져있는 경우는 2~3개월 덩도 간단히 앞니 교정을 한 후 세렉 올세라믹을 하게되면 신경치료도 피할 수 있고 보다 더 심미적인 앞니 보철물을 만들 수 있습니다.
올세라믹 크라운의 경우 치아의 삭제량이 많아져 자연치아의 치질이 적고 신경치료가 부가적으로 필요하게 되는 경우가 있습니다.
02/
세렉 올세라믹 장점- 치아를 뽑거나 치아뿌리를 움직이는 것이 아니라 잇몸에 무리가 없습니다.
- 원하는 치아 형태와 모양, 그리고 색상으로 디자인 가능합니다.
- 자연치아와 강도가 비슷해 파절가능성이 거의 없습니다.
- 자연치아처럼 시간이 지나도 색과 형태의 변화가 없습니다.
03/
세렉 올세라믹이 필요한 경우- 불규칙한 치열을 교정 없이 빨리 가지런하게 만들고 싶은 경우
- 기존 보철치료의 변색으로 자연스럽게 재치료하고 싶은 경우
- 미백시술로도 불가능한 변색(누렇거나 검은)치아가 있는 경우
- 앞니가 사고나 충치로 신경치료가 필요한 경우






