진료내용 > MTA앞니 부분교정
MTA앞니 부분교정
8주만에 앞니를
가지런하게~
MTA 앞니 부분교정( 미니 튜브 장치 )을 이용한 앞니 단기교정치료로 아름다운 미소와치아에 자신감을 가져 보세요 .주상돈 박사는 과잉 교정진료를 하지 않습니다.
01/
MTA앞니 부분교정이란?-
MTA앞니 부분교정 범위
어금니의 이동없이 앞니의 삐뚤어진 치아를 MiNi TUBE를 이용해
단기간 내에 빠르게 교정하는 새로운 교정치료 방법 -
18주 치료 종결 사진
18주의 MTA앞니 부분교정이 끝난 후
가지런해진 고객님의 치아
02/
MTA앞니 부분교정이 필요한 케이스-
(치료기간:10주)
(치료기간:12주)
(치료기간:12주)
-
(치료기간:17주)
-
(치료기간:16주)
(치료기간:10주)
-
(치료기간:27주)
-
(치료기간:19주)
-
(치료기간:15주)
(치료기간:25주)
-
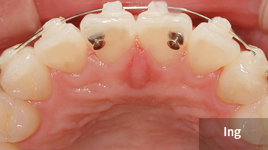
(치료기간:8주)
(치료기간:9주)
(치료기간:13주)
(치료기간:15주)
(치료기간:13주)
-
(치료기간:10주)
(치료기간:16주)
-
(치료기간:16주)
(치료기간:17주)
-
(치료기간:18주)
(치료기간:12주)
(치료기간:16주)
03/
대구예스타치과 MTA앞니 부분교정 치료과정-
STEP 1.진료안내 및 접수
-
STEP 2.방사선 파노라마 촬영
-
STEP 3.기본 구강 검진
-
STEP 4.본뜨기
-
STEP 5.구강포토 찍기
-
STEP 6.진단결과 듣기
-
STEP 7.3D 가상 교정진단
-
STEP 8.교정장치 붙이기
04/
대구예스타치과 MTA앞니 부분교정이 좋은 이유-
짧은 교정기간(8~16주)
얇고 작은 미니 튜브를 이용하여 치아에
지속적으로 약한 힘을 주어 치아를 이동시킴으로서
신속하고 단기간에 치아의 이동을 완성시킬 수 있습니다. -
작은 교정장치(Size:3mm)
세계 유일의 튜브방식의 MTA 앞니 부분교정장치는
치아색과 유사한 색상을 띄고 작아 외관상으로 잘 보이지
않아 심미적으로 우수합니다.작은 교정장치(size:3mm)
MTA 앞니 부분교정장치는 치아색과 유사한 색상을 띠고 작아 외관상으로 잘 보이지 않아 심미적으로 우수합니다.
(실제 MTA 앞니 부분교정장치 착용사진으로 외관상 표시가 많이 나지 않음을 볼 수 있습니다.)
×
-
대구 예스타의 전문성있는 진료
대구 예스타 치과 MTA 앞니 부분교정은 다릅니다.
MTA앞니 부분교정 시술로 인해 교정치료 대중화를
이끌었으며, 앞니를 가지런하게하기 위해 더 이상
보철을 하지 않고 앞니를 가지런하게 할 수 있고
평생 자기 치아를 유지할 수 있습니다.
오로지 환자를 위한 좋은 치료결과를 위한 치료방법에
집중하기 때문입니다. -
대구 예스타의 차별화된 치료방식
MTA장치물은 개발될 때 부터 부분교정을 위해
개발되었으므로 부분교정하는데 보다 효과적이고
장치물이 작기 때문에 이물감이 적고 잘 보이지 않습니다.
또한, 가는 형상합금와이어를 사용하기 때문에
거의 아프지 않고 신속히(8주~16주) 치아가 움직입니다. -
주상돈 박사만의 통합진료
대구 예스타 치과 주상돈 박사는 교정뿐만 아니라
잇몸 전문의 , 세렉라미네트 Trainer로서 환자 입장에서
가장 좋은 치료계획을 세울수 있고, 교정치료시
잇몸질환이나 충치치료 사랑니 발치 등을 다른 치과에
의뢰하지 않고 주상돈 박사님께서 직접 진료 합니다.
05/
MTA앞니 부분교정 중 주의사항-
이가 바른 위치로 움직이는 느낌
고정식 교정장치를 장착하게 되면 2~3일간은 이가 뻐근하거나 시큰거릴 수 있습니다.
이것은 이가 바른 위치로 움직이는 느낌이므로 너무 걱정하지 않으셔도 됩니다. -
어금니로 씹으세요.
질기거나 딱딱한 음식(껌,엿,캬라멜등)을 드시게 되면 장치가 떨어질 수도 있으니 피하시는게 좋으며,
식사를 하실때에 앞니로 물어뜯거나 베어먹는 것은 피하시고 되도록 잘게 썰어 어금니로 씹어드십시오. -
식사 후 올바른 칫솔질
치아에 장치가 부착되어 있기 때문에 음식물이 잘 낍니다.
식사 후 올바른 칫솔질로 구강위생 상태를 청결히 유지 시켜 주십시오. -
장치가 떨어졌을 때
교정장치의 철사 끝에 입 안이 찔려 아프시거나 장치가 떨어졌을 때에는 떨어진 장치를 챙기셔서 내원하시면 됩니다. -
진료 약속날짜를 잘 지켜주세요.
교정치료를 통한 만족을 보다 빨리 얻기 위해서는 진료 약속날짜를 잘 지켜주셔야 합니다.
부득이한 사정이 생기셔서 약속을 지킬 수 없을때에는 꼭 사전에 전화연락을 주십시오.
더욱 완벽한 교정을 위한
투명교정
더욱 완벽한 교정 결과를 얻기 위해 필요한 경우 투명교정 장치를 이용해더욱 정밀하게 교정진행을 합니다.
01/
투명교정이란?02/
투명교정의 장점- 장치가 투명하므로 매우 심미적이고 눈에 잘 띄지 않습니다.
- 스스로 착탈이 가능하여 편리하고 위생적입니다.
- 이물감이 적고 치아 및 잇몸에 부작용이 거의 없습니다.



