앞니치료의 모든것 > MTA앞니 부분교정
MTA앞니 부분교정
HOME > 앞니치료의 모든 것 > MTA앞니 부분교정
8주만에
앞니를 가지런하게~
어금니의 이동없이 앞니의 삐뚤어진 치아를 Mini Tube를 이용해단기간 내에 빠르게 교정하는 새로운 교정 치료법입니다. MTA앞니 부분교정 자세히 보기 >
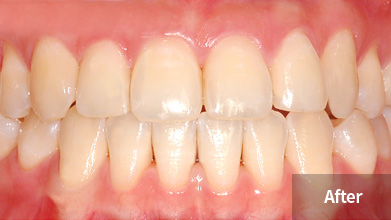
윗니에 틈이 있는 경우
(치료기간 : 10주)



아랫니에 틈이 있는 경우
(치료기간 : 22주)



윗니가 나비치아인 경우
(치료기간 : 14주)



아랫니가 "V"자로 뒤틀린 경우
(치료기간 : 21주)



앞니가 튀어나온 경우
(치료기간 : 20주)



윗니가 토끼치아인 경우
(치료기간 : 18주)



윗니가 심한 토끼치아인 경우
(치료기간 : 20주)



안으로 들어간 덧니치아인 경우
(치료기간 : 17주)



덧니치아인 경우
(치료기간 : 20주)



앞니가 겹쳐진 경우
(치료기간 : 13주)



아랫니가 삐뚤삐뚤한 경우
(치료기간 : 16주)



설측 MTA앞니 부분교정한 경우
(치료기간 : 15주)


