Re: 잇몸치료 치경부마모증 문의
페이지 정보
작성자 주상돈 (1.♡.236.27) 작성일24-06-11 08:21 조회4,904회 댓글0건관련링크
본문
안녕하세요?
대구예스타치과 주상돈박사입니다.
치경부 마모에 관해서 몇가지 궁금한 사항 답변을 드립니다.
1. 치료를 해야하는지, 그냥 두어도 괜찮은지 > >
-> 건강100세 시대에 앞으로 자연치아를 몇십년을 더 보존해야되는 점에서 치료가 바람직하겠지요
2. 치료를 해야한다면 임플란트 진행중인데 치료를 병행해도 괜찮은지 > >
-> 예, 가능합니다.
3. 치료방법 중 세라믹과 잇몸이식이 있는걸로 알고 있는데 어떤차이가 있는지(환자 상태, 가격 등에 따라 달라지는 달라지는지 궁금합니다.) >
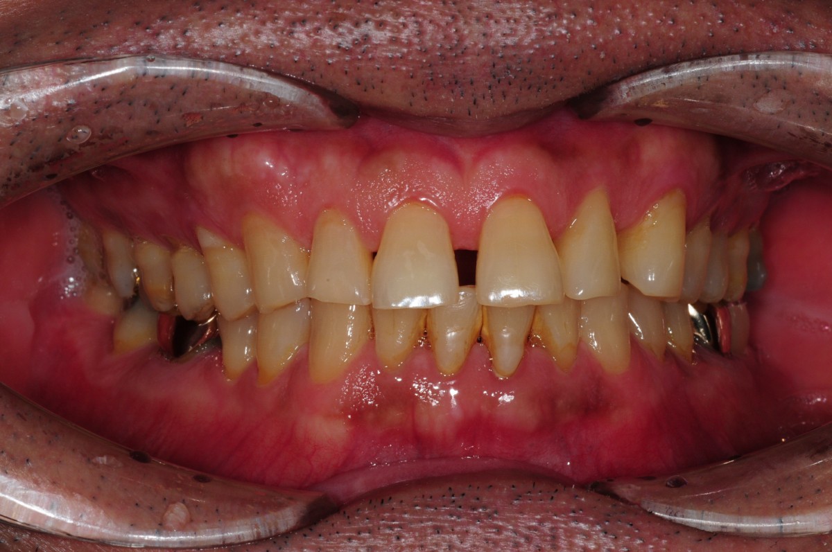
-> 현재 치경부 마모가 일어난 과정은 다음과 같습니다. 먼저 부착치은이라는 단단한 잇몸이 부족해서 잇몸이 내려가고(퇴축) 이로 인해 치아뿌리가 들어나게 되서 노출된 치아뿌리는 법랑질이 없기때문에 외부자극에 쉽게 닳게 되서 치경부마모가 생겼습니다.
그러므로 잇몸이식은 노출된 치아뿌리를 덮는것은 아니고 잇몸을 보강해서 더 이상 내려가지 않도록 하기 위함이고, 이후 마모가 된 부분은 레진으로 메워서 치아가 더 닳지 않도록 하기 위함입니다.
세라믹은 치아사이에 공간을 막고자 한다면 무삭제 라미네이트로 치아공간을 막을수있습니다.
잇몸이식은 보험이 되서 5만원전후(지혈장치 15만원 별도), 레진은 치아당 15만원비용이 들며, 라미네이트는 한개당 부가세 포함해서 66만원 비용이 듭니다.
4. 신환의 경우 예약없이 내원해도 괜찮은지 문의드립니다!!
>
>
-> 가능합니다. 예약환자를 먼저 진료를 하다보면 첫날 상담시 대기시간이 약간 걸릴수있다는점 양해 부탁드립니다.
감사합니다.
아래는 치경부 마모부위에 레진치료전후, 치아틈이있는 경우 무삭제 라미네이트 치료전후 사진입니다.




