Re: 앞니 부분교정 문의
페이지 정보
작성자 주상돈 (1.♡.236.30) 작성일26-01-20 07:50 조회26회 댓글0건관련링크
본문
안녕하세요? 대구예스타치과 주상돈박사입니다.
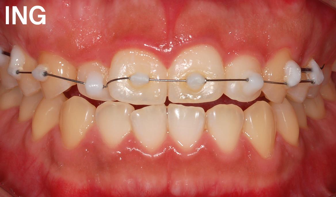
예, 작은 앞니가 뒤로 밀려나있어 교정이 가능한지 궁금하신것 같습니다.
물론 가능합니다. 교정에 있어서 나이와는 상관이 없으며 잇몸건강하고 연관이 깊습니다. 즉, 잇몸염증이 있다면 잇몸치료후 교정치료를 진행하게 됩니다.
정확한것은 엑스레이를 촬영을 해봐야 되지만 교정시작하는데는 무리가 없어 보입니다.
교정을 왜 해야되는지에 대한 대답을 잘 적어주셨는데요, 최소한 지금 자연치아를 앞으로 30-40년을 써야 되는데 현재 상태로는 관리가 어려운 상태이기때문에
충치나 잇몸질환이 생기기 쉬운 환경입니다.
그래서 교정을 해서 치아를 바르게 해놓으면 치솔질이 용이해서 자연치아를 평생사용할수가 있습니다.
정확한것은 검사를 해봐야 되지만 교정기간은 6-8개월, 교정치료비용은 180-150만원(월교정비 4만원)이며, 치과방문은 한달에 한번 내원하시게 됩니다.
감사합니다.







> > > 안녕하세요 > 67년 올해 60 여성입니다 > 그동안 시간과 비용이 맞지 않아 미루다 이제는 상담을 받고 싶어 문의 드립니다 > 앞 대문니 옆 치아가 뒤로 밀려나 있는 상태입니다 > 나이가 드니 음식물도 자주 끼는 것 같고 관리하기도 힘들어지는 것 같습니다 > 교정이 가능하다 해주시면 한번 방문해서 진료 상담 받고 싶어오 > >


