부분교정 문의드립니다!
페이지 정보
작성자 권소연 (116.♡.216.199) 작성일26-03-18 04:05 조회31회 댓글0건관련링크
본문
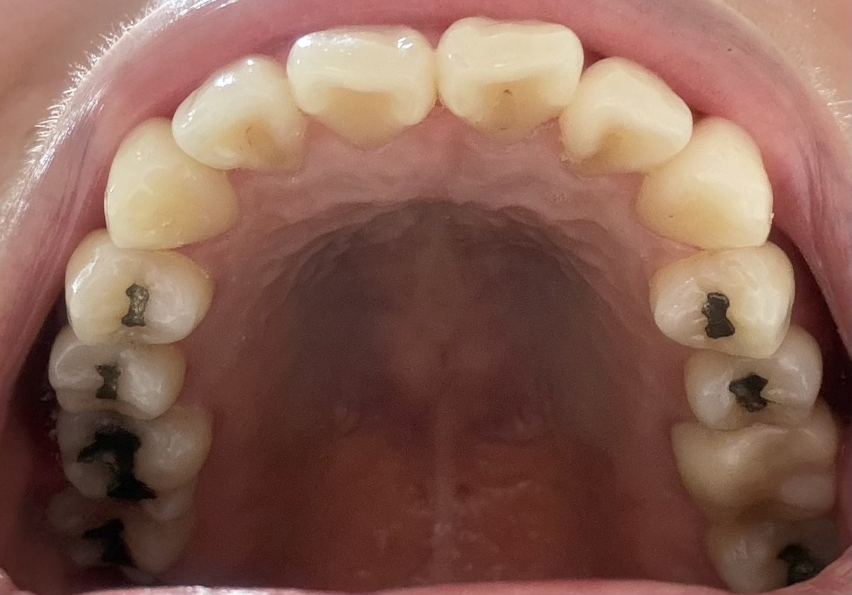
안녕하세요, 부분교정 관련 문의드립니다.
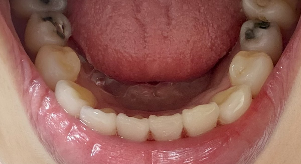
현재 앞니가 약간 앞으로 돌출되어 있고, 끝 부분이 살짝 벌어진 상태입니다.
아랫니는 겉으로 보기에는 크게 티가 나지 않지만, 높낮이 차이와 약간의 불균일함이 있습니다.
아랫니는 교정보다는 최소한의 형태 조정(법랑질 범위 내에서)으로 개선이 가능한지도 함께 상담받고 싶습니다.
첨부한 사진 기준으로 부분교정이 가능한지와 대략적인 비용 및 치료 기간 안내 부탁드립니다.감사합니다.
현재 앞니가 약간 앞으로 돌출되어 있고, 끝 부분이 살짝 벌어진 상태입니다.
아랫니는 겉으로 보기에는 크게 티가 나지 않지만, 높낮이 차이와 약간의 불균일함이 있습니다.
아랫니는 교정보다는 최소한의 형태 조정(법랑질 범위 내에서)으로 개선이 가능한지도 함께 상담받고 싶습니다.
첨부한 사진 기준으로 부분교정이 가능한지와 대략적인 비용 및 치료 기간 안내 부탁드립니다.감사합니다.



